Read more about the article Haemophilia A
Haematology

Haemophilia A

  • Reading time:7 mins read

Introduction Haemophilia A is one of several genetic inherited clotting disorders, the other most common ones being haemophilia B and von Willebrand's disease. It typically presents in neonates and young…

Continue ReadingHaemophilia A
Read more about the article Iron Studies
A sample of iron rich foods

Iron Studies

  • Reading time:4 mins read

Introduction Iron studies are indicated in patients with anaemia, particularly those with microcytic anaemia. They may also be indicated in microcytosis (without anaemia), general lethargy and tiredness and malnutrition. Iron…

Continue ReadingIron Studies
Read more about the article Leukaemia
Acute lymphoblastic leukaemia

Leukaemia

  • Reading time:45 mins read

Introduction Leukaemia is a broad term, applied to a range of blood cell cancers. The leukaemias can be classified as acute or chronic, and sub-classified as myeloid or lymphoid.  Thus, there…

Continue ReadingLeukaemia
Read more about the article Lymphoma
Hodgkin lymphoma cytology

Lymphoma

  • Reading time:37 mins read

Introduction Lymphoma is a type of cancer that affects the lymphatic system - and occurs when lymphocytes proliferate abnormally. Lymphoma be divided into two types; Hodgkin lymphoma (HL) and non-Hodgkin…

Continue ReadingLymphoma
Read more about the article Microcytic anaemias
Microcytosis seen on blood film in iron deficiency anaemia

Microcytic anaemias

  • Reading time:5 mins read

Introduction Anaemia is one of the most common presenting complaints to general practice. One of several ways in which anaemias can be classified, is by red cell size. As such,…

Continue ReadingMicrocytic anaemias
Read more about the article Myelofibrosis
Reticulin stain showing myelofibrosis

Myelofibrosis

  • Reading time:2 mins read

Myelofibrosis is a rare type of chronic leukaemia, subclassed as a type of myeloproliferative disease. Marrow fibrosis and splenomegaly, de novo or following transformation of PV or ET Usually >50…

Continue ReadingMyelofibrosis
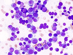
Read more about the article Myeloma
Blood film showing large number of plasma cells

Myeloma

  • Reading time:16 mins read

Introduction Myeloma is a malignant disease of the plasma cells of the bone marrow.  It is characterised by a proliferation of these plasma cells, and overproduction of an antibody (known…

Continue ReadingMyeloma
Read more about the article Myeloproliferative Diseases
Blood film showing essential thrombocythaemia - in these case with a platelet count about 10x that of normal.

Myeloproliferative Diseases

  • Reading time:2 mins read

Myeloproliferative disorders are often considered cancerous blood disorders and have the potential to transform into acute leukaemia. Even if they do not progress to leukaemia, myeloproliferative disorders can still be fatal…

Continue ReadingMyeloproliferative Diseases