Measles
Introduction Measles is a previously common (incidence now greatly reduced due to vaccination) usually childhood infection. Most cases are self-limiting, it is extremely infectious and carries a complication rate of…
Introduction Measles is a previously common (incidence now greatly reduced due to vaccination) usually childhood infection. Most cases are self-limiting, it is extremely infectious and carries a complication rate of…
Introduction Mumps is a generalised infection caused by a paramyxovirus. It can affect any organ but classically mumps causes a large swelling of the parotid gland causing the characterised lump…
Introduction Examination of the neck is an important skills for assessing lumps and masses in the neck. Lumps in the neck are most commonly caused by the thyroid gland or…
Introduction Obstructive Jaundice is a fairly common presentation to the emergency department and surgical teams. The most common cause is gallstones. You may also want to read about Gallstones and…
Summary There are 4 types of oesophageal tumour; adenocarcinoma, squamous cell carcinoma, leiomyoma and squamous papilloma. Squamous cell and adenocarcinoma are by far the most common. Squamous cell carcinoma Epidemiology…
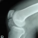
Introduction Osteoarthritis is a condition that results from the loss of cartilage at synovial joints, and is often accompanied by degeneration of the underlying bone. Radiologically there can be visible:…
Introduction Osteochondromas are benign tumours of bone and cartilage. They frequently grow outwards from bone near the growth plate (metaphysis) and can be palpated. They most commonly occur on the…
Setting up and getting started Look for any walking aids Look around the bed for medications (e.g. artificial tears) Look for any physical aids, e.g. hand grabbers Look for any…