Urinary Incontinence

Types of incontinence Urinary incontinence is the involuntary loss of urine, that is serious enough to cause a social or hygiene problem. It becomes more prevalent with age, with about…

Continue Reading Urinary Incontinence

Infective Endocarditis

Introduction Infective Endocarditis (IE) is a condition caused by infection of the endocardium by bacteria, or very rarely, fungus. It most commonly affects the heart valves (natural or prosthetic), but…

Continue Reading Infective Endocarditis

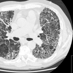
Interstitial Lung Disease and Pulmonary Fibrosis

Introduction Interstitial lung diseases (ILDs) affect the lung interstitium, i.e. the space between the alveolar epithelium and the capillary endothelium, causing inflammation and fibrosis. The two main types of interstitial…

Continue Reading Interstitial Lung Disease and Pulmonary Fibrosis

Introduction to Abdominal Exam

This article provides a very brief overview of abdominal examination. For a detailed walkthrough, please see the Abdominal Examination article Introduction Wash hands Check patient name/DOB/hospital number Introduce- “My name is…”…

Continue Reading Introduction to Abdominal Exam

Kawasaki Disease

Introduction Kawasaki’s Disease (KD) is an acute febrile vasculitic syndrome of early childhood. The disorder has also been called mucocutaneous lymph node syndrome and infantile periarteritis nodosa. The illness was…

Continue Reading Kawasaki Disease

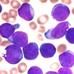
Leukaemia

Introduction Leukaemia is a broad term, applied to a range of blood cell cancers. The leukaemias can be classified as acute or chronic, and sub-classified as myeloid or lymphoid.  Thus, there…

Continue Reading Leukaemia

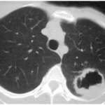
Lung Cancer

Introduction When we talk about lung cancer, we are generally referring to tumour of the bronchus. 95% of lung cancers are carcinoma of the bronchus 2% are alveolar tumours 3%…

Continue Reading Lung Cancer

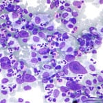
Lymphoma

Introduction Lymphoma is a type of cancer that affects the lymphatic system - and occurs when lymphocytes proliferate abnormally. Lymphoma be divided into two types; Hodgkin lymphoma (HL) and non-Hodgkin…

Continue Reading Lymphoma